esonic@esonicimage.com

横版logo.jpg


eHerz7 是hjc888黄金城官网公司最新一代高端全身应用型小台式彩超,采用RawVisionTM原数精准平台,具有超高频探头,搭载全球首发mFlow?超微血流技术、RVP?原始数据斑块定量评估技术RVA?原始数据声衰减定量成像等技术,为临床提供精准的影像,帮助医生更快更高效的为患者服务。




临床图像
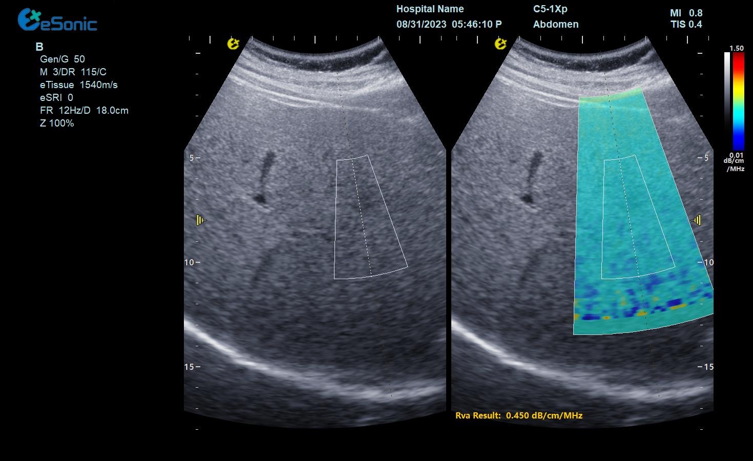
肝脏RVA
子宫内膜下螺旋动脉
颈部血管彩色
肝脏二维
空化组织里消融针智能map
颈动脉不稳定斑块
甲状腺乳头状癌微血流
心脏彩色M型
无磁导航
新生儿颅脑

?:400-0628060 ?:esonic@esonicimage.com

:hjc888黄金城官网影像-ESI

COPYRIGHT? hjc888黄金城官网影像  京ICP备2022002181号-1

药品医疗器械互联网信息服务备案:(京)网药械信息备字(2025)第 00057 号