esonic@esonicimage.com
首页 > 临床学术中心 > 腹部 > 肝脏
5G定量超声 | 声速定量成像QSOS,开启医疗诊断新思路

在医学诊断和研究中,超声成像技术一直是一个重要的工具。近来,hjc888黄金城官网医疗新推出的声速定量成像(Quantitative Speed of Sound Imaging,简称QSOS?)作为一种新兴的超声成像技术,正逐渐受到关注。27b13e39aa8b190999311196e68b214.png这种新近问世的的超声成像技术,是通过测量超声波在不同组织中的传播速度,来反映不同器官或者病变的病理特征。成像过程中,会以彩色编码来显示声速数值,并可对数值进行准确地定量测量。这种新技术在多种疾病的早期检测、诊断和治疗评估中都可显示特殊价值。

 声速定量成像技术是如何运作的呢?

从技术实现的角度,简单来说,超声系统通过特定算法、控制探头向组织发射一系列不同特质的脉冲波,这些脉冲波在被不同特性的组织反射回来之后,探头接收到的回波信号也会包含不同的信号特征,通过分析这些特征如时间延迟等,系统就能计算出每个脉冲波在组织中的传播路径和速度。汇总多个脉冲波的数据,就可以生成一个显示组织声速分布的图像,帮助医生了解组织的物理特性。

640.jpg123 (2).jpg可以设想,单位时间可发射的脉冲波越多、单位面积可发射的脉冲波越密集,得到的数据结果就越快、越多。也就是说,如果医生希望得到实时、大幅的声速定量图像,就需要超声系统具备“超快速”发射和接收的能力,hjc888黄金城官网医疗(ESI)ePascal东风系列超声平台的200+倍成像速度,成为了这项新技术得以临床应用的重要条件。

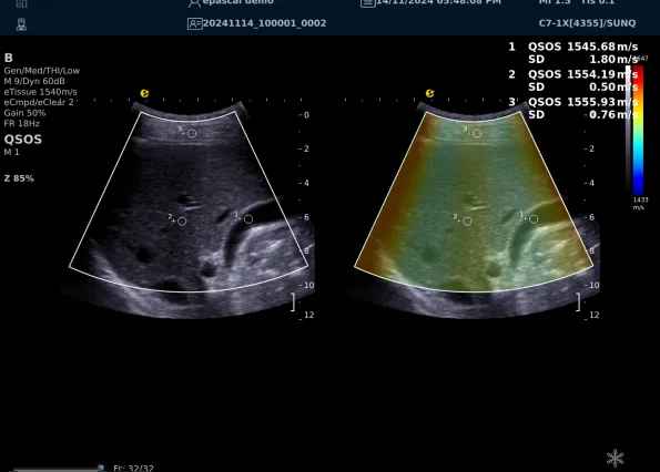
以上为应用声速定量成像技术检查肝脏的超声图像,图中在取样框内选择了三个测量区域,得出了各区域内的组织声速值以及声速衰减系数等结果。

声速定量成像技术的应用


肝脏


在肝脏疾病的诊断中,因为受到脂肪沉积水平的影响,脂肪性肝炎组织的声速会根据脂肪变性的程度、纤维变性的程度肝脏2.jpg和可能的炎症水平而动态变化。QSOS?技术可以通过监测脂肪肝患者肝脏的声速而有利于脂肪性肝炎和肝硬化的监测或早期发现。研究表明,结合不同部位的声速值,可以提高脂肪变性诊断的准确性,使其成为非侵入性评估肝脏健康的有力工具。而在肝脏肿瘤的诊断中,它能够提供肿瘤的大小、位置和边界信息,这对肿瘤的分类和分期,良恶性鉴别以及临床治疗方案的制定等非常有帮助。


上一条 : 声衰减定量成像(ATI)| 无创检测领域的革新之光 下一条 : 肝脏超声解剖

?:400-0628060 ?:esonic@esonicimage.com

:hjc888黄金城官网影像-ESI

COPYRIGHT? hjc888黄金城官网影像  京ICP备2022002181号-1

药品医疗器械互联网信息服务备案:(京)网药械信息备字(2025)第 00057 号